Skip to main content

Dental Aesthetics

Cosmetic Dentistry & Smile Aesthetics

Cosmetic Dental Treatment at Link House

Your smile is important – it’s often the first thing people notice. A whiter, brighter smile can enhance confidence and create lasting impressions. Our cosmetic dentists will take time to understand your desires and expectations and achieve the best aesthetic outcome for you.

Veneers, crowns and composite veneers (composite bonding) are crafted alongside laboratory technicians to achieve the perfect shade, shape, and size. They are then customised chair-side for truly personalised results. In some cases, teeth whitening and orthodontics can enhance the results.

At Link House, Brighton & Hove, we are lucky to have a team of aesthetic specialists who can work together to achieve incredible results, even in more challenging cases where the teeth are misaligned or the shape of the gums needs to be altered.

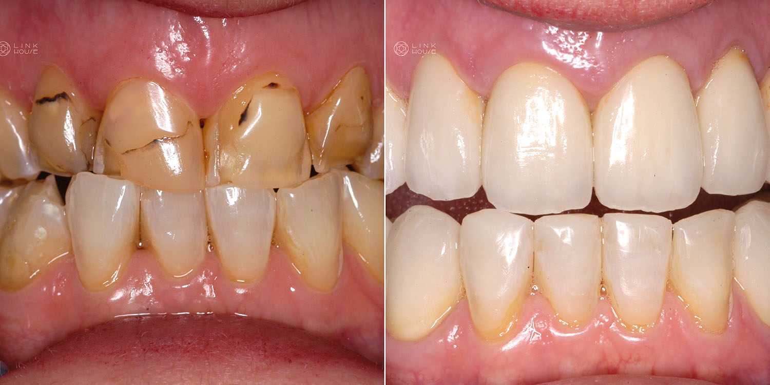
The Difference Between Composite Bonding & Veneers

Both composite bonding and veneers are dental procedures used to enhance the appearance of teeth. Still, they have some key differences in terms of material used, purpose, durability, preparation and cost.

Composite Bonding

  • Involves the application of a tooth-coloured resin material directly onto the tooth. This resin is the same material used for tooth-coloured fillings. The results can be previewed digitally or via a provisional try-in procedure.
  • Often used to repair chipped or cracked teeth, close gaps between teeth, change the shape of teeth or improve the appearance of discoloured teeth. It is a more versatile solution for minor cosmetic issues.
  • Requires minimal or no tooth preparation. The cosmetic dentist may roughen the tooth’s surface slightly and then apply the bonding material directly onto the tooth.
  • More prone to staining and may lose its shine after some time. It may not last as long as veneers, especially if you drink coffee, tea, red wine or smoke.
  • More affordable than veneers. It is a quicker, less invasive and more cost-effective solution for minor cosmetic issues.

Veneers

  • Are thin, custom-made shells typically made of porcelain or ceramic. These shells are fabricated in a dental laboratory and then bonded (glued) to the front surface of the teeth.
  • Primarily used for cosmetic purposes to improve the appearance of stained, misaligned, uneven or worn-down teeth. They provide a more dramatic transformation and can significantly change the shape, size and colour of teeth.
  • Involves removing a very small amount of the tooth enamel (about 0.5 mm) to create space for the veneer. This is a permanent alteration to the tooth. Often, veneers are more natural-looking than composite bonding.
  • Are highly stain-resistant and generally more durable than composite bonding. With proper care, they can last for many years.
  • More expensive due to the custom fabrication process and the materials used.

Wondering which treatment is right for you? A Link House cosmetic dentist can help you decide between composite bonding and veneers, based on your specific dental needs, lifestyle, the extent of the cosmetic issues and your budget!

Contact Us

Tooth Whitening at Link House Dental

The colour of natural teeth can be lightened by whitening. The active oxygen molecules in the whitening agent can penetrate the enamel of the teeth and react with the discoloured molecules that cause tooth discolouration. As a result, the colour is lightened. The whitening agent will also break down stains and provide a shiny glow to the tooth surface.

Only a cosmetic dentist can prescribe high-strength whitening gels, which are often applied at home with a custom mouthguard filled with gel. However, this can also be done in our Brighton-based dental practice, where a whitening gel is applied and energised with light. In some cases, we use a combination of both methods.

Tooth whitening can also be used around and inside a single discoloured tooth.

Frequently Asked Questions

Below are some frequently asked questions about Link House’s dental aesthetic services. Should you not find an answer to your question, please get in touch with us, and a Link House Dental team member will be happy to help you.

My teeth are sensitive. Can I have teeth whitening treatment?

It’s common to experience some tooth sensitivity after whitening, but this usually subsides within 1-3 days. Note that whitening gel works only on natural teeth, so any existing dental restorations may require replacement to match your newly brightened smile. Stains from coffee, tea, red wine, and smoking may necessitate periodic re-bleaching.

Does composite bonding damage my natural teeth?

No. Composite bonding is a non-invasive procedure that doesn’t require removing enamel.

Is composite bonding painful?

No, the procedure is typically pain-free and doesn’t require anaesthesia unless it is used for cavity repairs.

Does getting veneers hurt?

The procedure is usually painless, but some patients may experience mild sensitivity after enamel removal. Local anaesthesia is available if needed.

How are veneers applied?

For porcelain veneers, the process involves:

  1. Tooth preparation, i.e. removal of a small amount of enamel
  2. Impressions & creation of your custom veneer shells
  3. Bonding of the veneers