Specialist Periodontics at Link House
Periodontics is the branch of dentistry focused on the health of your gums and jawbone — the tissues that support your teeth. A specialist in this field is called a periodontist.
Gum health is a crucial component of comprehensive oral care that addresses the foundation of oral health—the gums and supporting structures of teeth and implants.
Why Might You Need to See a Periodontist?
You might be referred to Link House’s specialist periodontist for many reasons, either for a one-off procedure or ongoing care.
You may need temporary treatment for procedures such as:
- Gum grafts to restore receding gums
- Bone grafts to support implants or strengthen the jawbone
- Frenectomies to correct issues with the lip or tongue attachment
Some patients require long-term periodontal care, especially if they:
- Are at higher risk for gum disease
- Have a genetic predisposition to periodontal issues
- Need specialist monitoring beyond routine cleanings
Our periodontist works closely with your hygienist and general dentist to ensure your oral health remains in top condition.
What Treatments Does a Periodontist Provide?
The Link House specialist periodontist in Brighton can perform a wide range of periodontal treatments, including “deep cleaning” (root surface debridement), cosmetic procedures and various types of periodontal surgery.
Gum Disease
Gum disease is a common condition that can cause bleeding gums, bad breath, and even tooth loss if not treated early. The good news is, it’s preventable and treatable. If you’ve noticed any signs of gum problems, don’t wait—book an appointment today to protect your smile and overall health.
Common Types of Gum Disease
What to Look Out For and How It Can Be Treated
Gum disease is often referred to as a silent condition because the symptoms may only appear in the advanced stages of the disease. However, there are several warning signs to watch for, including:
- Bleeding while brushing, flossing, or eating hard foods.
- Red, swollen, or tender gums.
- Gums that are receding or pulling away from the teeth, making the teeth appear longer.
- Loose or drifting teeth, with the opening of gaps.
- Bad taste and/or bad breath (halitosis).
Gingivitis
Gingivitis is the mildest form of gum disease. The gums appear red and swollen and bleed easily. There is usually no discomfort. Gingivitis is reversible with professional treatment and good oral hygiene at home.
Periodontitis
If left untreated, gingivitis can progress to periodontitis. Over time, plaque can spread and grow below the gums. The bacteria in the plaque produce toxins that irritate the gums, triggering a chronic inflammatory response. The gums usually appear red and swollen and bleed easily.
The inflammation causes the body’s immune system to attack the gums and the bones that support the teeth. The weakened gums detach from the teeth’s root surface, creating spaces (“gum pockets”) between the teeth and gums. These pockets hide bacterial plaque and will deepen as the disease progresses, further destroying gum tissue and bone. Eventually, teeth may become loose and either fall out or need removal.
There are different stages and grades of gum disease. A thorough assessment is required to evaluate how advanced the disease is and how best to treat it.
Treatment of Gum Disease at Link House
The earlier gum disease is detected and treated, the easier it is reverse. Improving your oral hygiene routine and having professional dental cleanings to remove built-up tartar along the gum line is often sufficient in the beginning stages of gingivitis. However, by the time periodontitis has set in, specialist gum treatments are often required to save your teeth.
We usually distinguish two phases of gum disease treatment: the active phase and the maintenance phase. The aim in the active phase is to treat the infection, while in the maintenance phase is to prevent the disease from returning.
Active Phase
Root Surface Debridement (Deep Cleaning):
The aim of root surface debridement is to remove plaque, calculus (hardened plaque), and debris from the tooth roots to eliminate the infection that causes gum disease. This then promotes the gums to re-attach to the tooth roots and allows gum and bone tissue regeneration. The process of removing these hard deposits may be carried out using hand instruments or with ultrasonic technology under local anaesthesia. Sedation can also be provided.
Gum Surgery:
Surgery is sometimes required to treat moderate to severe gum disease. The periodontist makes small incisions in the gum tissue, lifts the gums away from the teeth, and cleans deep beneath the surface. The gums are then repositioned and stitched back into place. In some cases, it is possible to regenerate the lost bone support via bone grafts or bioactive materials.
Maintenance Phase
Supportive Periodontal Care Therapy:
During these visits, our periodontists will check the health of your gums, measure the pockets and gum health around your teeth, and clean below the gum line where bacteria can hide. Some patients require these visits every three to six months, while other patients can continue treatment with a Hygienist. We will advise you on the appropriate schedule and liaise with your dentist and hygienist.
Comprehensive Periodontal Evaluation:
For patients being followed up by their hygienist, we can provide regular visits to assess their periodontal health and identify conditions that may need additional treatment.
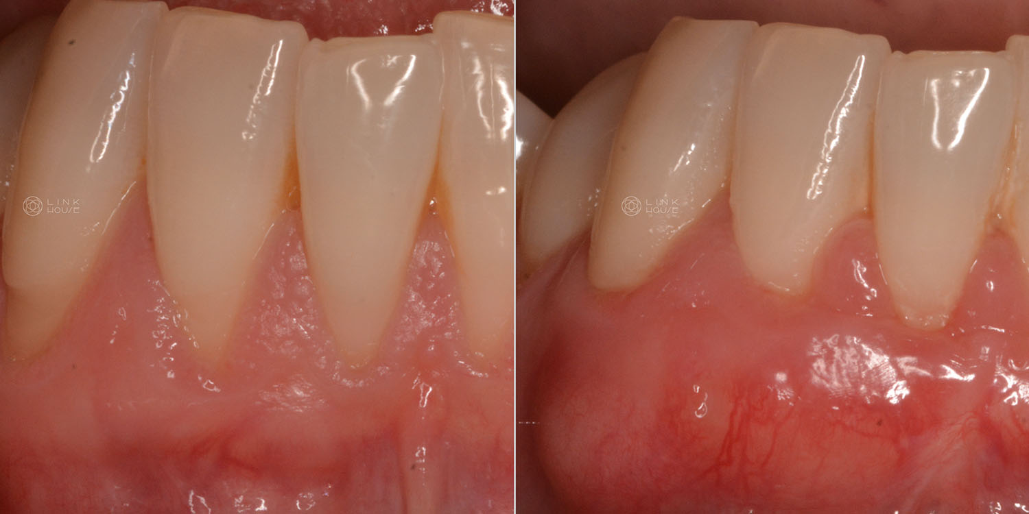
Gum Grafting and Crown Lengthening
Whether you’re dealing with gum recession or require more tooth exposure for restorative or cosmetic treatments, these procedures help create a stable, healthy foundation for long-term oral health and aesthetics.
Specialist Treatments for Gum Recession
Gum Recession
Gum recession is when your gum tissue pulls away from your teeth, exposing the roots underneath.
It’s caused by several factors, including overzealous brushing, mouth trauma, periodontal disease, orthodontics, lip/tongue piercings and genetics.
Exposed teeth roots increase your risk of tooth decay, sensitivity and bone loss around teeth.
Gum surgery can improve thinning gums and gum recession. In some cases, a gum graft is required to cover the roots of the exposed teeth and add volume to your gums. This restores the missing gums and reduces the risk of further gum recession. Gum graft surgery can be performed on one tooth or multiple teeth.
There are many gum grafting techniques and materials available. We commonly take tissue from your palate (the roof of your mouth) and move it to the area of recession. In some cases, though, we may use a substitute grafting material.
Gummy Smile and Smile Lift
Some people have excess gum tissue that covers part of their teeth. This can make the smile appear “gummy”, where the teeth appear short, and too much gum is visible when smiling.
A gummy smile can also be caused by having worn-down teeth, a high lip/smile line, problems with the eruption of the teeth, some medications, and certain genetic conditions.
If you want to improve your smile’s appearance, a smile lift can help. This involves the removal of excess gum tissue, and sometimes a small amount of bone, to reveal more of the tooth. This procedure can be done on its own or alongside treatments such as veneers.
Crown Lengthening
If a tooth breaks off near or below the gumline and there isn’t enough tooth structure exposed to fit a crown, the periodontist can remove some of the surrounding gum and bone to allow crown placement or filling.
Peri-implant diseases
Peri-implant diseases are inflammatory conditions that affect the soft and hard tissues around dental implants. Much like natural teeth, dental implants can accumulate bacteria at the base, below the gum line. Over time, this bacterial build-up can irritate the gum tissue, leading to inflammation, a condition known as peri-implant mucositis.
Specialist Treatments for Peri-implant Diseases
Peri-implantitis
If left untreated, peri-implant mucositis can progress to a more severe condition called peri-implantitis, where inflammation increases and bone resorption around the implant occurs.
This process can cause significant damage to the tissues. If not addressed early, it can lead to deterioration of the bone structure surrounding the implant. In the worst case, the implant may lose its anchorage in the bone, becoming loose or requiring removal.
The symptoms of peri-implant diseases are similar to those of gum disease: red, sore, and swollen gums around the implant, along with bleeding when brushing.
Replacing an implant lost due to peri-implantitis can be challenging. Bone grafting surgery may be needed to rebuild the lost bone before a new implant can be placed.
It’s important to recognise that peri-implant diseases can progress and cause damage much faster than periodontitis (gum disease). Additionally, peri-implantitis is often more difficult to treat than periodontitis.
Patients who have previously suffered from gum disease are at an increased risk of complications with dental implants. For this reason, any existing gum disease must be stabilised before an implant can be placed. Regular monitoring of dental implants as part of a Comprehensive Periodontal Evaluation is essential. This helps reduce the risk of disease affecting the implants and allows for the early detection of any issues.
Treatment options
The treatment often begins with a very thorough cleaning and decontamination of the implant surface, often combined with antimicrobial therapy. For advanced cases, various surgical procedures are available. It may be necessary to surgically access and treat the implant, and where possible reconstruct the lost bone via a bone regeneration procedures.
Do you know your implant brand?
There are more than 150 brands of implant used in the UK. Each brand has several different implant models, each with its unique design and requiring different equipment and components.
We are experienced in managing dental implant complications and can offer tailored solutions to address issues specific to the vast majority of implant systems. Our expertise ensures that any complications, whether related to implant failure, peri-implant disease, or mechanical issues, are effectively managed with the right approach, equipment, and care.
Whether you’re looking for guidance on treatment options or need specialised intervention, our Specialists Team is here to provide comprehensive support for your dental implant needs.
Frequently Asked Questions
Below are some frequently asked questions about Link House’s specialist periodontal services. Should you not find an answer to your question, please contact us, and a Link House Dental team member will be happy to help you.
Does “deep cleaning” hurt?
Non-surgical treatment is usually done under local anaesthesia (injections to numb the area). This can be supplemented by sedation. You will be aware of noise and vibration, but there will be no discomfort. After treatment, the area can become mildly sore. The majority of our patients require no painkillers or just one dose (e.g. a paracetamol) after treatment.
Does the treatment need to be repeated?
The treatment aims to resolve the infection, stop the disease from progressing, and reduce the size of the gum pockets so you can clean them effectively. A course of treatment is sufficient in most cases. After this, a maintenance program will be implemented to reduce the risk of disease re-occurrence. For some patients or around some teeth, the response to the treatment can be less favourable and require additional treatment.
Does bone grow back?
Often, the treatment aims to arrest bone loss and resolve infection. However, some improvement of the bone levels around the teeth can naturally occur. New treatment techniques and Periodontal Regeneration techniques are available at Link House. These can help restore the lost bone, reversing the damage caused by gum disease.
What are the side effects of treatment?
You will likely experience mild discomfort and gum bleeding shortly after the treatment. When the gums are very swollen, some tissue shrinkage is expected. The swelling should resolve, and the gums heal by tightening around the teeth. This can lead to some increase in gum recession and increased sensitivity to temperature changes.
Is there a link between gum disease and Alzheimer’s?
Gum disease bacteria have been found in the brains of people with Alzheimer’s. People with gum disease declined in memory ability six times faster than those with healthy gums. It is unclear how the two diseases are linked but they are likely related to the body’s inflammatory response.
I have gum disease. Am I at risk for stroke and heart attack?
Recent research has shown that people with gum disease have two to three times the risk of having a heart attack, stroke, or other serious cardiovascular event. But there may not be a direct connection. Many people with heart disease have healthy gums, and not everyone with gum disease develops heart problems.
Does gum disease cause bad breath?
Gum disease is caused by plaque, a sticky film of bacteria that forms on your teeth. It can cause bad breath, also known as halitosis. Gum disease can also cause an unpleasant taste in your mouth. Halitosis is often related to the presence of anaerobic gram-negative bacteria in the mouth, which produce volatile sulphur compounds such as hydrogen sulphide and methyl mercaptan.
Is gum disease contagious?
Periodontal diseases have a complex bacterial aetiology, which, to date, is not fully understood. For the disease to occur, there has to be a breakdown of the normal balance between the bacteria in the mouth and your immune and inflammatory system. Research has shown that the bacteria that cause the inflammatory reaction can be transmitted through saliva. If one of your family members has periodontal disease, avoiding contact with their saliva is a good idea, especially by avoiding sharing oral health equipment (e.g., your toothbrush).
Do you provide Laser treatment?
There is significant misinformation regarding the use of Lasers in periodontal therapy. For gum disease treatment, research has demonstrated that laser treatment offers little to no benefit compared to other well-documented treatment protocols. We can provide laser treatment within documented, evidence-based protocols – primarily for surgical procedures.
Are there different stages of gum disease?
After a detailed examination, we will be able to assign a stage and a grade to periodontitis based on how severe the disease is, the complexity of treatment, your risk factors and your health. Then, a bespoke treatment plan is made.
How do you measure gum disease?
The periodontal examination involves assessing your medical and dental history, carefully examining your mouth, and “mapping” your gums. This entails taking different measurements of the gums to create a health map. For a patient with a full dentition, the number of measurements can exceed 636! X-rays are very often required to assess the bone support around the teeth.
What happens at the initial consultation?
When you visit us for an initial consultation, we will take time to listen to you, discuss about your previous dental treatment and experiences and identify your concerns. We will then perform a detailed examination of your whole mouth, take detailed measurements of the gums and take X-rays as required. We will then take time to discuss the current status and the possible treatment solutions. All treatment options are, of course, discussed with you on an individual basis, and written treatment plans and estimates are provided. If a dentist has referred you to our specialist periodontist, we will also liaise with them and write a report to them. Usually, the consultation lasts 45-60 minutes, and during this time, you can ask any questions you may have.
How much does treatment cost?
Gum disease can vary in severity and extent (how many teeth are affected). Treatment fees will depend on this and the complexity of treatment. Every case is different; unfortunately, it is impossible to provide a quote without a thorough examination. We will always provide a written fee estimate and treatment plan following the diagnostic examination, during which the specialist will evaluate and discuss the treatment options with you.
Do I need to be referred by a Dentist?
A referral is not required. However, we encourage patients to have a referral from a dentist. This provides us with details about your dental health and can reduce the need for unnecessary radiographs or investigations.
Do you provide sedation?
Yes, we can provide sedation, and you can find more information here.
Can my Dentist or Hygienist treat gum disease?
It depends on the Dentist or Hygienist’s knowledge, expertise and skills. Generally speaking, if you have mild periodontal disease, you can achieve good results with treatment by your General Dentist or Dental Hygienist. A referral to a Specialist is usually indicated if this treatment is unsuccessful. A Specialist Periodontist can provide a broader range of treatment solutions for more advanced forms of gum disease and usually produces better results.