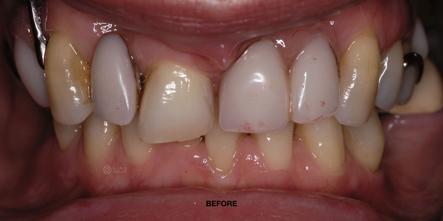
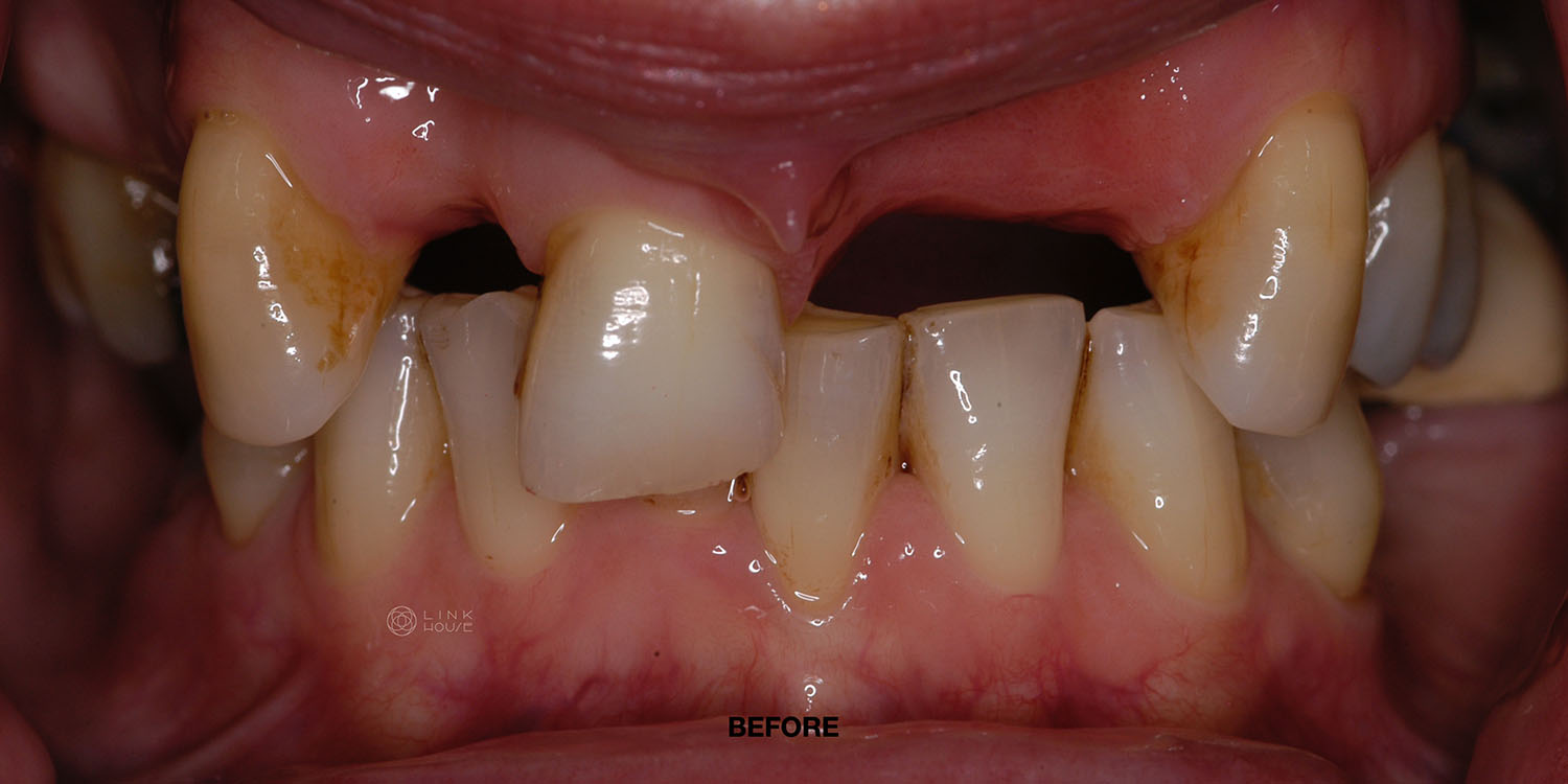
Why choose dentures?
People wear dentures to replace lost or missing teeth so they can enjoy a healthy diet and smile with confidence. At Link House Specialist Dental Centre, we offer bespoke dentures made with the latest materials and techniques to ensure a natural look, comfortable fit and long-lasting durability.
Types of Dentures at Link House Dental
People wear dentures to replace lost or missing teeth so they can enjoy a healthy diet and smile with confidence. At Link House Specialist Dental Centre, we offer bespoke dentures made with the latest materials and techniques to ensure a natural look, comfortable fit and long-lasting durability.
A complete or full denture replaces all the natural teeth in the upper or lower jaw. A partial denture fills in the spaces left by lost or missing teeth. It may be fastened to your natural teeth with metal clasps or precision attachments.
- Full dentures, to replace all your own teeth, fit snugly over your gums. They will help you eat comfortably, speak clearly, and improve your confidence and self-esteem.
- Partial dentures replace teeth that are missing and can sometimes be supported by the teeth you have left. If you have gaps between your teeth, your remaining teeth may move to take up some of the space so that you could end up with crooked or tilted teeth. This could affect the way you bite and could damage your other teeth.
In some cases, we can use dentures as a temporary solution while the definitive implant tooth or bridge is being made.
The Benefits of Link House Dentures
- Dentures restore your ability to chew food properly.
- They help restore normal speech patterns and help you to enunciate clearly.
- They provide structural support, helping maintain your face’s natural shape.
- Well-fitted dentures can enhance your smile aesthetics, boosting your self-esteem and confidence!
- Dentures are typically more budget-friendly compared to treatments such as dental implants.
Immediate Dentures at Link House Dental, Brighton
Usually, dentures can be fitted straight after your teeth have been removed. These are called ‘immediate dentures’. You will need to visit the prosthodontist beforehand so that they can take measurements and make impressions of your mouth.
With immediate dentures, you don’t have to be without teeth while your gums heal. However, after the teeth have been extracted, the bone and gums will shrink. This process slows down significantly after a few months. As the gums shrink, the immediate dentures may need adjusting, relining or even replacing.
Sometimes, we may advise you to wait until your gums are healed before having your dentures, as this can sometimes mean a better fit. Healing may take 2-4 months.
Wearing Dentures For The First Time
During the first few days, we usually advise you to wear them for most of the time, including while you are asleep. After your mouth gets used to your dentures, we recommend you take them out before going to bed. This allows your gums to rest and helps keep your mouth healthy. It is best to store the dentures in a small amount of water to stop them from warping.
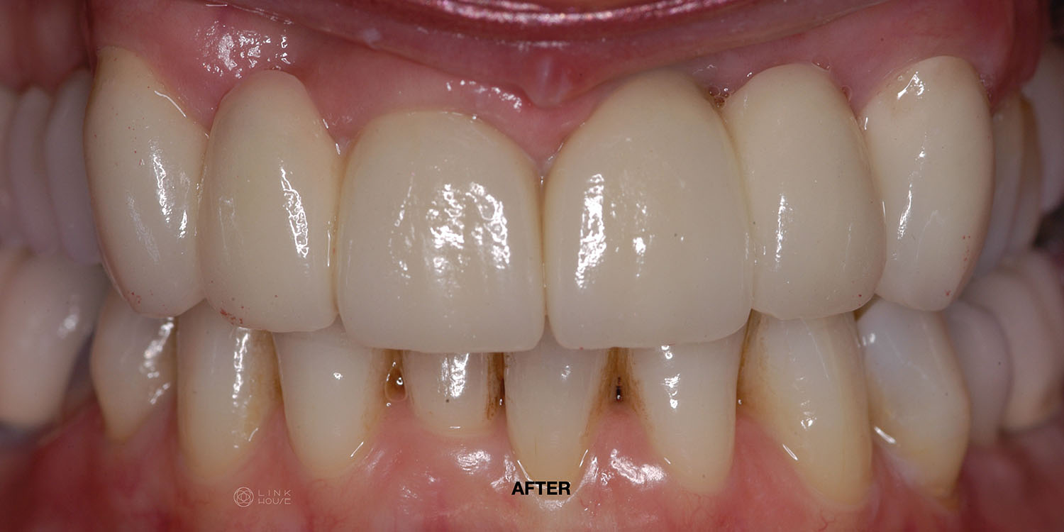
Replace your missing teeth with bespoke, comfortable dentures at Link House Specialist Dental Centre.
To book an appointment, enquire about our services or make a referral, simply click the button below.
Frequently Asked Questions
Below are some frequently asked questions about Link House’s bespoke denture service. Should you not find an answer to your question, please get in touch with us, and a Link House Dental team member will be happy to help you.
What is the procedure for making a complete denture?
Making a complete (full) denture usually requires a minimum of 4 visits spaced 2 weeks apart. First, we take impressions (moulds) of the patient’s mouth. Second, we take more precise impressions in a specially made tray & bite registration to make the denture fit as accurate as possible. We then try one of the artificial teeth in your mouth, and any adjustments can be done at this stage. Finally, we fit the denture. Some minor adjustments are often required in the first few weeks.
What are the problems with dentures?
As dentures are designed to maximise the contact surface with the gums and are easy to remove, they will often feel like foreign bodies in your mouth. They will never feel rigid, but you will get used to them with time and patience. In some cases, it is advisable to use denture adhesive to help keep them in place. When a new denture is fitted, your speech may be altered to start with, but your tongue will adjust in time. Patients must return to the dentist for minor adjustments if they rub and cause ulcers or are too loose or tight.
Will I be able to eat with dentures?
Eating can take a little practice. We would recommend starting with soft foods cut into small pieces. Chew slowly, using both sides of your mouth at the same time to stop the denture moving.
Will dentures change how I speak?
Your speech may be altered with a new denture. Pronouncing certain words may take practice. Reading out loud and repeating difficult words will help.
If you find that your dentures occasionally slip when you laugh, cough or smile, reposition them by gently biting down and swallowing. If this happens a lot, there are different solutions we can consider.
How do I look after my dentures?
Dentures are removable appliances, so they must be removed and cleaned at least twice a day. It is also recommended that you leave the denture out at some point during the day or night to allow your palate to breathe. Do not use toothpaste to clean your denture; toothpaste will scratch the plastic.
Can I replace the denture I have?
Yes, but if you already have dentures and want to replace them, you should be aware that no dentures are identical. The new ones may feel uncomfortable to begin with, but this will be because you are so used to the old ones. Getting new dentures will take time and patience. It’s like wearing in a new pair of shoes—perseverance is the key!
My upper denture fits fine, so why am I having problems with my lower one?
The upper denture usually has much more suction to hold it in place, especially on the palate. There is much less gum support in the lower jaw, so the lower denture may feel more wobbly because it has to be balanced between your cheeks and your tongue.
Dental implants can stabilise loose dentures. A minimum of two implants are required. This relatively simple treatment can drastically improve the fit and retention of a removable lower denture.



